Cabinet dentaire des Drs LAVIGNA et LEROY
Implantologie, Orthodontie, Pédodontie (enfant), Parodontologie
Cabinet dentaire des Drs LAVIGNA et LEROY

51 RUE DES BAINS
01220 DIVONNE LES BAINS

Implantologie, Orthodontie, Pédodontie (enfant), Parodontologie

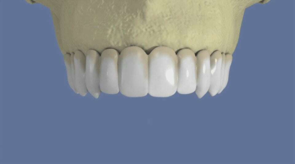
Maxillaire : bridge vissé sans fausse gencive


video-play-icon

Articles similaires

Création par Webdentiste

Connexion